H13 钢铸坯一次碳化物分布

高占江, 吴强, 徐翔宇, 刘斌, 付建勋

【作者机构】 上海大学材料科学与工程学院先进凝固技术中心; 上海大学省部共建高品质特殊钢冶金与制备国家重点实验室; 鞍钢集团北京研究院有限公司
【分 类 号】 TF777
【基    金】 国家自然科学基金资助项目(52074179).
全文 文内图表 参考文献 出版信息
H13 钢铸坯一次碳化物分布

H13 钢铸坯一次碳化物分布

高占江1,2,吴 强1,2,徐翔宇1,2,刘 斌1,2,3,付建勋1,2

(1.上海大学材料科学与工程学院先进凝固技术中心,上海 200444; 2.上海大学省部共建高品质特殊钢冶金与制备国家重点实验室,上海 200444; 3.鞍钢集团北京研究院有限公司,北京 102209)

摘 要: H13 钢中大尺寸碳化物是引发疲劳失效的主要原因,其类型、尺寸及分布特征均会显著影响疲劳裂纹的萌生与扩展.基于Thermo-Calc 热力学软件分析,利用金相显微镜、扫描电子显微镜、三维腐刻装置和X 射线衍射仪(XRD)等仪器对某厂H13 钢铸坯中碳化物的三维形貌、尺寸及分布特征进行了系统研究.结果表明:H13 钢铸坯中一次碳化物主要为深灰色的富V 型的MC 和富Mo-Cr 型的M2C,并且从铸坯边缘到中心的一次碳化物面积占比、平均面积及平均等效直径均呈增大趋势;碳化物的形态变化从铸坯边缘到中心的依次为粒状、块状、棒状、细长状、网状,这是由铸坯凝固时不同部位的冷速不同引起的.

关键词: H13 钢; 模具钢; 碳化物; 三维腐刻

AISI H13 钢(4Cr5MoSiV1)作为目前国内外使用最广泛和最具代表性的热作模具钢种,凭借优异的高温强度、冲击韧性、淬透性等综合性能,在模具制造行业中得到了广泛应用[1-3].H13 钢属于中碳中合金钢,含有8%(质量分数)的Cr,Mo,V 等合金元素.在凝固过程中,合金元素极容易偏析,与C 发生反应,生成大尺寸的一次碳化物[4-5].H13 热作模具钢在使用过程中,因基体与碳化物之间热应力集中,再加上循环应力作用,受到双重应力的共同作用,碳化物极易成为裂纹萌生源,进而引发模具失效[6,9].因此,准确了解H13钢铸坯碳化物的分布和析出特征对实际生产有着重要意义.

近年来,研究人员对铸态H13 钢中碳化物进行了探究.毛明涛等[10]基于原位观察发现,铸锭枝晶间存在明显的Cr,Mo,V,C 等元素的偏析,M2C 型碳化物在枝晶间偏析最严重的区域生成.孙晓林等[11]通过偏析模型计算发现,在铸坯凝固过程中可能形成粗大的共晶碳化物和氮化物.具体而言,当固相率达到0.82 时,残余液相中会生成TiN;而接近凝固终点时,则会生成VC0.88.这些产物最终会长大形成粗大的氮化物和碳化物.王辉等[12]的研究表明,液析碳化物级别越高,材料的冲击功越小,且液析碳化物主要以VxCy化合物形式存在,是材料内部的应力集中点及疲劳裂纹扩展源头.Xie 等[13]分析了Nb-Ti 微合金化H13钢中大于1 μm 析出相的特征.根据成分特征,铸锭中存在4 种类型的大相,即(Ti,Nb,V)(C,N)、富V 碳化物、富Mo-Cr 碳化物和硫化物.还有不少学者探究了稀土元素对碳化物的影响[14-16],发现添加适量的稀土元素不仅可以使合金元素分布更加均匀,还可以有效减小一次碳化物的尺寸.朱浩然和周德福等[17-18]分析了变质元素Mg 对碳化物的影响,研究表明,适量Mg 的加入既可以显著细化H13 钢的组织,又能降低碳化物形成元素的偏析.郝勇飞、曹小军和黄宇等[19-21]研究了碳化物形成元素Nb,Ti 对H13 钢中碳化物的影响,结果表明,随着Nb 和Ti 含量的增加,一次碳化物的数量密度和平均三维尺寸均呈增大趋势.Li 和Wang 等[22-23]分析了热处理对H13 钢中碳化物的影响,结果表明,经退火与锻造工艺处理,一次碳化物会发生破碎、分散,部分碳化物被溶解,同时成分偏析现象得到显著改善.

H13 钢中的大尺寸一次碳化物是进一步提高其使用寿命的关键.当前研究多采用钢固定位置的检测结果来替代整块铸坯中碳化物的整体分布特征,而针对铸坯从边缘到中心的连续检测分析相对较少.因此,本文中选择某钢厂生产的H13 钢铸坯为研究对象,借助金相法、扫描电镜分析、三维腐刻、X 射线衍射仪(XRD)等表征手段,以及热力学计算方法,对铸坯从边缘到中心的碳化物的尺寸、分布、二维/三维形貌和成分等进行解析,寻找大尺寸一次碳化物在铸坯中的分布规律,旨在更有针对性地改善铸坯中碳化物尺寸较大的部位,为精准控制钢中碳化物生成指明方向,同时为优化H13 钢中一次碳化物提供指导.

1 实验材料和方法

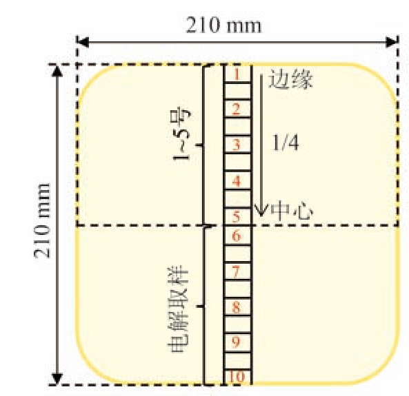
本文中以某钢厂生产的H13 钢铸坯为研究对象,其生产工艺流程如下:30 t 电弧炉→氩气脱碳(AOD)炉→钢包炉(LF)精练→真空脱氧(VD)处理→模铸.表1 中列出了H13 钢铸坯的化学成分.对210 mm×210 mm 的方坯进行取样,采用线切割法从铸坯的中心线上切割出1 个试样条,然后等距离切割成10 块金相试样(每块尺寸为10 mm×10 mm×10 mm),编号为1 ~10 号.其中,1 号和10 号试样位于铸坯的边缘,3 号和8 号试样位于铸坯的1/4 位置,5 号和6 号试样位于铸坯的中心.取样方式如图1 所示.

图1 取样示意图
Fig.1 Schematic diagram of sampling

表1 H13 钢铸坯的化学成分(质量分数)
Table 1 H13 steel chemical composition (mass fraction) %

CSiMnPSCrMoVNbTiNiCuFe 0.3860.950.400.0220.0015.191.250.9230.0060.0030.170.12其他

对样品进行打磨抛光,利用蔡司金相显微镜和扫描电子显微镜(SEM)观察碳化物的二维形态、尺寸和分布情况,并运用能谱分析仪与热力学计算软件分析碳化物的成分.

为了研究试样的三维形貌及空间分布并鉴定物相组成,使用夹杂物三维刻蚀仪对6~10 号试样进行三维腐刻[24],夹杂物三维刻蚀仪及原理图如图2 所示.电解液成分为质量分数1%的四甲基氯化铵+质量分数1%的乙酰丙酮+甲醇,其中,试样为阳极,将电解参数控制在电流密度0.04 A/cm2、温度-10 ℃、时间10 min,之后将试样取出烘干,在扫描电镜下观察碳化物三维形貌[25].

图2 夹杂物三维刻蚀仪及原理图[24]
Fig.2 Schematic diagram of electrolysis device

2 结果与讨论

2.1 H13 钢铸坯中碳化物分布

采用体积分数为4%的硝酸酒精对H13 钢铸坯从边缘至中心的5 个试样进行腐蚀处理,而后在金相显微镜下观察其显微组织,如图3 所示.图3(a)~(e)分别对应1~5 号试样在100 倍显微镜下的金相照片.H13 钢的显微组织存在明显的碳化物偏析带,组织由粗大马氏体、下贝氏体和液析碳化物组成,液析碳化物的存在能够导致材料的强度、耐磨性和抗裂纹扩展性能大幅下降.从图3中可以看出,H13 钢铸坯边缘的液析碳化物尺寸较小且大部分呈点状,越靠近中心部分,碳化物尺寸越大,数量也越多,并且相互连接成网状.

图3 H13 钢铸坯边缘到中心的碳化物金相照片
Fig.3 Metallographic photograph of carbide from edge to heart of H13 steel billet

(a)—1 号;(b)—2 号;(c)—3 号;(d)—4 号;(e)—5 号.

为了更清晰地观察碳化物的分布规律,将边缘到中心的5 个H13 钢铸坯金相试样和电解试样在相同放大倍数下用SEM 进行观察拍照,每个试样选取1 张图片,按从边缘到中心的顺序,从左至右进行拼接,如图4 所示.

图4 边缘到中心(从左到右)碳化物的微观形貌
Fig.4 Edge to center (left to right) microscopic topography of carbides

(a)—二维;(b)—三维.

图4(a)和(b)分别显示了铸坯中碳化物的二维和三维形貌.在电解过程中,基体中的碳化物会暴露出来.碳化物的二维形态通常是其三维形态的一个截面,而在三维图中可以观察到更多碳化物的细节特征.从图4 中可以看出,H13 钢中的碳化物从边缘到中心或单独存在或相互结合.在边缘,碳化物形态大部分呈粒状,尺寸约为2 μm.这是由于铸坯边缘的冷却速度较快,具有较大的过冷度,从而显著提高了形核率并细化了晶粒.晶粒细化后,晶界面积随之增加,而晶界处是碳化物优先析出的场所.因此,增多晶界能够有效分散并细化碳化物的长大过程,最终使其尺寸变小.碳化物从铸坯的边缘至1/4 处呈块状、棒状,尺寸为5~10 μm.1/4 处属于铸坯的柱状晶区,碳化物在枝晶间析出,故碳化物大部分呈长条状,尺寸为数十至数百微米.从铸坯的1/4 处到中心,碳化物形貌由条状转变为网状,长度超过100 μm,贯穿整个视场.在铸坯中心区域,由于最后凝固且冷却速度最慢,残余液相中的碳出现富集现象.这导致该区域形成的碳化物尺寸显著增大,且各类碳化物相互重叠,形成较为发达的网状结构.同时,碳化物的长度和厚度均呈现出明显的增大趋势.

综上可知,碳化物的形态从铸坯的边缘到中心依次变化如下:粒状、块状、棒状、细长状、网状,尺寸从几微米到上百微米.碳化物析出的连续性增强,网状程度加重,这是由铸坯凝固时各区域的冷却速度不同所引起的.

用Image-Pro-Plus 软件对试样(边缘到中心)的典型SEM 照片中一次碳化物的面积占比、平均面积,以及平均等效直径进行统计,结果如图5所示.

图5 H13 钢铸坯不同部位碳化物分布情况
Fig.5 Carbide distribution in different parts of H13 billet

从图5 中可以看到:H13 铸坯中一次碳化物的平均面积、平均等效直径及面积占比均呈逐渐增大的趋势;边缘1 号试样的一次碳化物面积占比为0.069%,越靠近中心,一次碳化物面积占比越大,中心5 号试样的碳化物面积占比可达1.66 %;一次碳化物的平均面积由边缘1 号试样的4.56 μm2 逐渐增至中心5 号试样的16.25 μm2,平均等效直径由边缘1 号试样的2.06 μm 增至中心5 号试样的4.13 μm.

综上所述,H13 模具钢铸坯中的碳化物从边缘到中心的等效直径逐渐增大,面积占比也逐渐增大,碳化物的形貌按照粒状→块状→棒状→细长状→网状的规律转变,碳化物析出的连续性增强.

2.2 碳化物的类型及典型形貌

利用扫描电镜和能谱分析仪,对试样(边缘到中心)的典型碳化物形态及组成进行了分析.由图6 和表2 可知,H13 钢中的碳化物元素以V,Cr和Mo 为主,它们在凝固时与C 发生偏析并生成碳化物.根据碳化物的颜色和成分,对H13 钢中的一次碳化物进行分类.H13 钢中的一次碳化物类型可分为两类:①深灰色相由V,C,N 和少量Mo,Cr,Fe 组成,即富V 一次碳化物,如图6(a1)所示;②亮白色相由Mo,Cr,C,N 和少量V,Fe 组成,即富Mo-Cr 一次碳化物,如图6(d1)所示.需要注意的是,具体类型需要结合后续热力学计算以及XRD 测定推断.另外,分布在一次碳化物周围的析出相尺寸小于1 μm 的碳化物,为二次碳化物.一次碳化物的尺寸通常会大于二次碳化物,如图6(b1)所示.钢中一次碳化物的存在和演化规律对钢的力学性能和使用寿命影响极大.

图6 H13 钢铸坯中不同位置典型碳化物二维和三维照片
Fig.6 2D and 3D photos of typical carbides at different locations in H13 steel billet

(a)—1 号;(b)—2 号;(c)—3 号;(d)—4 号;(e)—5 号.

表2 H13 钢铸坯典型碳化物的主要能谱成分(原子数分数)
Table 2 Main spectral composition of typical carbides in H13 steel billet(atomic fraction) %

能谱点FeCrMoV P114.474.352.8537.24 P212.615.829.1335.94 P324.916.436.8930.93 P429.0417.9217.809.87 P518.0024.7836.8817.47 P67.185.496.3330.96 P79.335.218.5438.72 P817.5922.8225.9412.91 P97.305.294.8931.26 P1020.9718.4915.388.23

由SEM 和EDS 分析可知,H13 钢中不同类型的一次碳化物以单独或组合的形式生成,在析出过程中碳化物和夹杂物也被并入.图6(c1)示出了H13 钢中两种不同类型的一次碳化物的典型组合析出形貌,富V 一次碳化物与富Mo-Cr 一次碳化物一起析出,相互重叠且尺寸较大.此外,在铸坯不同位置的同类碳化物的成分相差不大,但是同类型碳化物的各合金元素的原子数分数差异很大,具体如表2 所列.

从图7 中可以观察到,一次碳化物与MnS一起析出,一次碳化物以硫化物为成核核心析出.通过SEM 分析发现:作为异质形核位点的核心为硫化物,主要由Mn,Fe 和S 组成;析出的一次碳化物为富Mo-Cr 碳化物,这表明硫化物可能促进了富Mo-Cr 碳化物的异质形核;H13 钢铸坯中一次碳化物与夹杂物相互结合并析出.

图7 以硫化物为核心析出的一次碳化物形貌
Fig.7 Morphology of primary carbides precipitated with sulfides as core

(a)—1 号;(b)—3 号;(c)—5 号.

利用XRD 检测技术分析了H13 钢铸坯中典型碳化物的形态和组成.样品采用电解法提取,使用1%四甲基氯化铵、1%乙酰丙酮和甲醇作为电解液,在-10 ℃下以0.04 A/cm2 的电流密度进行6 h 电解.电解完成后,使用0.2 μm孔径的滤膜过滤电解液并收集残留的电解渣,随后进行清洗和干燥.干燥后的粉末样品采用X 射线衍射装置进行分析,以确定其物相结构.本实验中,扫描范围2θ 为10°~90°,扫描速度为10 (°)/min,使用铜靶材料,管压为40 kV,管流为150 mA.

图8 为粉末样品的XRD 检测分析结果.结合Jade 软件判断,H13 钢铸坯中碳化物相共有M23C6,M7C3,MC 和M2C 这4 种.

图8 H13 钢铸坯中碳化物结构类型
Fig.8 H13 steel billet carbide structure type

2.3 H13 钢热力学凝固行为

根据表1 中H13 钢的化学成分,利用Thermo-Calc2020b 软件的TCFE10 数据库,计算了H13 钢在平衡状态下600 ~1 600 ℃的热力学凝固行为,结果如图9 所示.

图9 H13 钢平衡凝固相图
Fig.9 H13 steel equilibrium solidification phase diagram

由图9 可知,在凝固之前,钢液中就已经出现了高熔点Al2O3.H13 钢的液相线温度为1 477 ℃,固相线温度为1 381 ℃;在1 477 ℃时,δ-Fe 在液相中最先析出.当温度降低至1 430 ℃时,δ-Fe 逐渐向γ-Fe 转变.当温度继续降低至1 282 ℃时,MC 相开始析出.在1 218 ℃左右,MnS 相开始析出;在901 ℃和893 ℃时,M2C 相与M7C3 相析出.853 ℃时,发生共析反应,生成了α-Fe.812 ℃时,M23C6 相开始析出,且随温度继续下降,M23C6 相含量逐渐增大.811 ℃时,M7C3 相含量开始逐渐减小;到778 ℃时,M7C3 相全部消失.由平衡相图计算可知,H13 钢中碳化物相共有4 种,分别为MC,M2C,M7C3 及M23C6.

图10 示出了H13 钢中MC,M2C,M7C3 和M23C6 型碳化物所含的合金元素随温度的变化情况.从图中可以看出,MC 型碳化物在1 282 ℃时析出,主要元素为V.随着温度的降低,MC 型碳化物中的V 含量先降低,在温度高于893 ℃后又升高,这与M7C3 的析出有关.M2C 型碳化物在901 ℃时析出,主要成分为Mo 和V,随着温度的下降,其含量不变.M23 C6型碳化物在812 ℃时析出,主要成分为Cr 和Fe,随着随温度的下降,Cr 含量上升,Fe 含量下降,而Mo 和V 的含量基本保持不变.这表明在冷却过程中,Cr 原子不断向M23C6 型碳化物中扩散,并且取代了其中的Fe 原子.

图10 H13 钢中碳化物相所含主要元素
Fig.10 Main elements contained in H13 steel carbide phase

在实际凝固过程中,H13 钢并非平衡凝固,由于冷速较快,并不能保证各元素扩散均匀,而是随着凝固组织的发展产生偏析.为了更好地研究凝固过程中一次碳化物的生成,利用Thermal-Calc 软件中的Scheil-Gulliver 模型,计算了H13 钢非平衡状态下的凝固特性,结果如图11 所示.

图11 H13 钢非平衡状态下热力学凝固过程
Fig.11 Thermodynamic solidification process of H13 steel in non-equilibrium state

由图11 可知:当钢液温度为1 600 ℃时,Al2O3 就已经析出;当钢液温度降低至1 477.9 ℃时,δ-Fe 析出;当钢液温度继续降至1 427.9 ℃时,γ-Fe 析出;当钢液温度为1 426.2 ℃时,δ-Fe完全转变为γ-Fe;当钢液温度为1 262.9 ℃时,M7C3 和MnS 同时析出.由非平衡相图可知,钢液在凝固过程中析出M7C3 和MnS 这两种第二相颗粒,对应的析出温度为1 263 ℃,其凝固分数为0.958 5.

通过热力学计算对比实验结果及XRD 测试结果可以推断,H13 钢中的一次碳化物类型可分为两类:①深灰色相由V,C,N 和少量Mo,Cr,Fe组成的富V 的MC 型一次碳化物;②亮白色相由Mo,Cr,C,N 和少量V,Fe 组成的富Mo-Cr 的M2C型一次碳化物.M7C3 和M23C6 型碳化物是在凝固后期析出的二次碳化物,数量较少且尺寸较小.

3 结论

(1)H13 钢铸坯碳化物形貌在边缘为粒状及块状弥散分布,在1/4 处呈条状分布,在中心则相互连接呈网状分布.碳化物从边缘到中心按照粒状→块状→棒状→细长状→网状的规律转变,析出的连续性增强,尺寸从几微米到上百微米.

(2)碳化物从H13 钢铸坯边缘到中心的平均面积、平均等效直径及面积占比均呈逐渐增大的趋势,一次碳化物面积占比从0.069%增至1.66%,一次碳化物的平均面积由4.56 μm2 增至16.25 μm2,平均等效直径由2.06 μm 增至4.13 μm.

(3)H13 钢铸坯中的一次碳化物类型可分为两类:深灰色富V 的MC 型一次碳化物与亮白色富Mo-Cr 的M2C 一次碳化物.二次碳化物为M7C3型和M23C6 型,硫化物可能促进富Mo-Cr 的M2C型碳化物的异质形核.

4 参考文献

[1] 王汉,李亨,徐凡凡,等.H13 热作模具钢失效分析及工艺改进[J].模具工业,2021,47(6):59-62.(Wang Han,Li Heng,Xu Fanfan,et al.Failure analysis and process improvement of H13 hot-working die steel[J].Die &Mould Industry,2021,47(6):59-62.)

[2] 樊明强,毛磊,张雲飞,等.H13 钢高温压缩过程中温升对其变形行为及组织的影响[J].钢铁研究学报,2017,29(9):756-761.(Fan Mingqiang,Mao Lei,Zhang Yunfei,et al.Effects of temperature rise on deformation behavior and microstructure of H13 steel during high temperature compression process[J].Journal of Iron and Steel Research,2017,29(9):756-761.)

[3] 潘金芝,任瑞铭,戚正风.国内外模具钢发展现状[J].金属热处理,2008,33(8):10-15.(Pan Jinzhi,Ren Ruiming,Qi Zhengfeng.Development status of model steels at home and abroad[J].Heat Treatment of Metals,2008,33(8):10-15.)

[4] 黄宇,成国光,李世健,等.Ce 微合金化H13 钢中一次碳化物的析出机理及热稳定性研究[J].金属学报,2019,55(12):1487-1494.(Huang Yu,Cheng Guoguang,Li Shijian,et al.Precipitation mechanism and thermal stability of primary carbide in Ce microalloyed H13 steel[J].Acta Metallurgica Sinica,2019,55(12):1487-1494.)

[5] Ji D P,Wang Y,Zhu H R,et al.Precipitation behavior of primary carbide in H13 bloom die steel[J].Physics of Metals and Metallography,2023,124(13):1482-1491.

[6] 李国彬,凌超,李香芝.4Cr5MoSiV1 钢和3Cr2W8V 钢热疲劳寿命的研究[J].钢铁,1997,32(4):51-54.(Li Guobin,Ling Chao,Li Xiangzhi.Study on thermal fatigue life of 4Cr5 MoSiV1 and 3Cr2W8V steels[J].Iron and Steel,1997,32(4):51-54.)

[7] 黄宇,成国光,鲍道华.H13 钢中一次碳化物的特征及控制进展[J].工程科学学报,2020,42(10):1244-1253.(Huang Yu,Cheng Guoguang,Bao Daohua.Current status of the characteristics and control of primary carbides in H13 steel[J].Chinese Journal of Engineering,2020,42 ( 10):1244-1253.)

[8] 毛明涛,郭汉杰,孙晓林,等.H13 热作模具钢中液析碳化物的研究进展[J].工程科学学报,2018,40 (11):1288-1299.(Mao Mingtao,Guo Hanjie,Sun Xiaolin,et al.Recent progress on primary carbides in AISI H13 hot work mold steel[J].Chinese Journal of Engineering,2018,40 ( 11):1288-1299.)

[9] 周健,马党参,刘宝石,等.H13 钢带状偏析演化规律研究[J].钢铁研究学报,2012,24(4):47-52.(Zhou Jian,Ma Dangshen,Liu Baoshi,et al.Research of band segregation evolution of H13 steel[J].Journal of Iron and Steel Research,2012,24(4):47-52.)

[10] 毛明涛,郭汉杰,孙晓林,等.基于原位观察的H13 钢中液析碳化物高温行为研究[J].工程科学学报,2017,39(8):1174-1181.(Mao Mingtao,Guo Hanjie,Sun Xiaolin,et al.In-situ research of high-temperature behavior of primary carbide in H13 steel[J].Chinese Journal of Engineering,2017,39 ( 8):1174-1181.)

[11] 孙晓林,郭汉杰,陈希春,等.电渣重熔H13 钢中一次碳化物形成机制[J].钢铁,2014,49(5):68-73.(Sun Xiaolin,Guo Hanjie,Chen Xichun,et al.Formation mechanism of primary carbide in H13 steel during electroslag remelting process[J].Iron and Steel,2014,49(5):68-73.)

[12] 王辉,徐锟,卢守栋,等.液析碳化物对H13 热模具钢力学性能的影响机理[C]/ /“第十届中国钢铁年会”暨“第六届宝钢学术年会”论文集.上海,2015:42-47.(Wang Hui,Xu Kun,Lu Shoudong,et al.Mechanism of effect of liquid carbide on mechanical properties of H13 hot die steel[C]/ /The Chinese Society for Metals,Baosteel Group Coporation." Proceedings of the 10th China Iron and Steel Annual Conference and the 6th Baosteel Academic Annual Conference.Metallurgical Industry Press,2015:6.)

[13] Xie Y,Cheng G G,Chen L,et al.Characteristics and generating mechanism of large precipitates in Nb - Timicroalloyed H13 tool steel[J].ISIJ International,2016,56(6):995-1002.

[14] 赵帆,周文健,张志豪.稀土镧对H13 模具钢回火稳定性和抗氧化性的影响[J].材料导报,2023,37(2):124-129.(Zhao Fan,Zhou Wenjian,Zhang Zhihao.Effect of lanthanum on tempering resistance and oxidation resistance of the H13 die steel[J].Materials Reports,2023,37(2):124-129.)

[15] 舒瑞熙,杨忠民,曹燕光,等.稀土钇对H13 钢组织与性能的影响[J].金属热处理,2023,48(5):70-77.(Shu Ruixi,Yang Zhongmin,Cao Yanguang,et al.Effect of rare earth Y on microstructure and properties of H13 steel[J].Heat Treatment of Metals,2023,48(5):70-77.)

[16] Huang Y,Cheng G G,Li S J,et al.Distribution characteristics and thermal stability of primary carbide in cast Ce-H13 steel[J].ISIJ International,2020,60(2):267-275.

[17] 朱浩然,周茂华,胡涛,等.镁对H13 钢液析碳化物及组织的影响[J].钢铁研究学报,2022,34(11):1278-1285.(Zhu Haoran,Zhou Maohua,Hu Tao,et al.Effect of magnesium on primary carbides and microstructure of H13 steel[J].Journal of Iron and Steel Research,2022,34(11):1278-1285.)

[18] 周德福,常立忠,郑福舟,等.微量镁改善H13 钢中碳化物的机理研究[J].钢铁钒钛,2017,38(3):156-162.(Zhou Defu,Chang Lizhong,Zheng Fuzhou,et al.Study on the mechanism of improving the carbides in H13 steel by trace magnesium[J].Iron Steel Vanadium Titanium,2017,38(3):156-162.)

[19] 郝勇飞,成国光,谢有.含铌H13 钢中一次碳氮化物生成机理及热稳定性[J].材料热处理学报,2017,38(4):132-139.(Hao Yongfei,Cheng Guoguang,Xie You.Formation mechanism and thermal stability of primary carbonitrides in Nbcontaining H13 tool steel[J].Transactions of Materials and Heat Treatment,2017,38(4):132-139.)

[20] 曹小军,李明林,黄宇,等.Nb-H13 钢中一次碳化物的析出机理和控制[J].中国冶金,2020,30(3):21-27.(Cao Xiaojun,Li Minglin,Huang Yu,et al.Precipitation mechanism and improvement of primary carbide in Nb-H13 steel[J].China Metallurgy,2020,30(3):21-27.)

[21] 黄宇,肖丙政,彭学艺,等.残余Ti 含量对H13 钢中一次碳化物特征的影响[J].金属功能材料,2024,31(1):28-36.(Huang Yu,Xiao Bingzheng,Peng Xueyi,et al.Effect of residual Ti content on the characteristics of primary carbides in H13 steel[J].Metallic Functional Materials,2024,31(1):28-36.)

[22] Li J,Li J,Wang L L,et al.Study on carbide in forged and annealed H13 hot work die steel [J].High Temperature Materials and Processes,2015,34(6):593-598.

[23] Wang H,Li J,Shi C B,et al.Evolution of carbides in H13 steel in heat treatment process[J].Materials Transactions,2017,58(2):152-156.

[24] Zhang D,Shen P,Xie J B,et al.A method for observing tridimensional morphology of sulfide inclusions by non-aqueous solution electrolytic etching[J].Journal of Iron and Steel Research International,2019,26(3):275-284.

[25] 刘松涛,王奕,朱浩然,等.H13 模具钢模铸坯夹杂物及碳化物分布解析[J].冶金分析,2023,43(12):8-16.(Liu Songtao,Wang Yi,Zhu Haoran,et al.Distribution analysis of inclusion and carbide in H13 die steel die casting billet[J].Metallurgical Analysis,2023,43(12):8-16.)

Primary carbide distribution in H13 steel billet

Gao Zhanjiang1,2,Wu qiang1,2,Xu Xiangyu1,2,Liu bin1,2,3,Fu Jianxun1,2
(1.Center for Advanced Solidification Technology (CAST) of School of Materials Science and Engineering,Shanghai University,Shanghai 200444,China; 2.State Key Laboratory of Advanced Special Steel,Shanghai University,Shanghai 200444,China;3.Ansteel Beijing Reasearch Institude Co.,Ltd.,Beijing 102209,China)

Abstract: In the H13 steel,large carbides were identified as the primary cause of fatigue failure.The characteristics of carbides,such as type,size,and distribution,were found to influence the initiation and propagation of fatigue cracks.Based on thermodynamic analysis by Thermo-Calc software,the three-dimensional morphology,size,and distribution of carbides in the H13 steel casting billet from a manufacturing plant were investigated using instruments such as metallographic microscopy,scanning electron microscopy,three-dimensional etching equipment,and XRD.The results indicated that the primary carbides in the H13 steel billet were predominantly dark gray V-rich MC type and Mo-Cr-rich M2C type.From the edge to the center of the billet,all of the area fraction of primary carbides,the average carbide area,and the mean equivalent diameter increased.The morphology of the carbides transitioned sequentially from granular and blocky at the edge to rod-like,elongated,and eventually network-like toward the center.This variation was attributed to differences in cooling rates across different regions during the solidification of the casting billet.

Key words: H13 steel; mold steel; carbide; three-dimensional corrosion engraving

中图分类号: TF 777

文献标志码: A

文章编号: 1671-6620(2025)06-0597-08

doi: 10.14186/j.cnki.1671-6620.2025.06.004

收稿日期: 2024-04-24.

基金项目: 国家自然科学基金资助项目(52074179).

作者简介: 高占江(2001—),男,硕士研究生,E-mail: shugaozj@shu.edu.cn.

通讯作者: 付建勋(1969—),男,教授,E-mail: fujianxun@shu.edu.cn.

引文格式: 高占江,吴强,徐翔宇,等.H13 钢铸坯一次碳化物分布[J] 材料与冶金学报,2025,24 (6): 597-604.(Gao Zhanjiang,Wu qiang,Xu Xiangyu,et al.Primary carbide distribution in H13 mold steel castings [J] Journal of Materials and Metallurgy,2025,24 (6): 597-604.)

X